X線CT診断装置 CTスキャナ Aquilion Lightning

32マルチスライスCT。Aquilion Lightningは、検査室内での動きやすさ、
患者さんへの圧迫感の軽減にまで配慮。ガントリの小型化と780mm大開口径の両立を実現しました。
患者さんのポジショニングがより容易に行え、スムーズに検査が行えます。
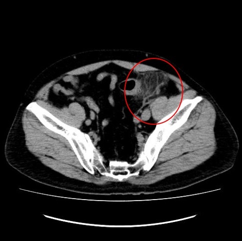
CT 検査では体内の様子を細かく写真に撮ることができます。
レントゲンでははっきりしない炎症、腫瘤、骨折などが視覚的にわかり、
様々な病気やけがの状態を知ることができます
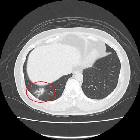
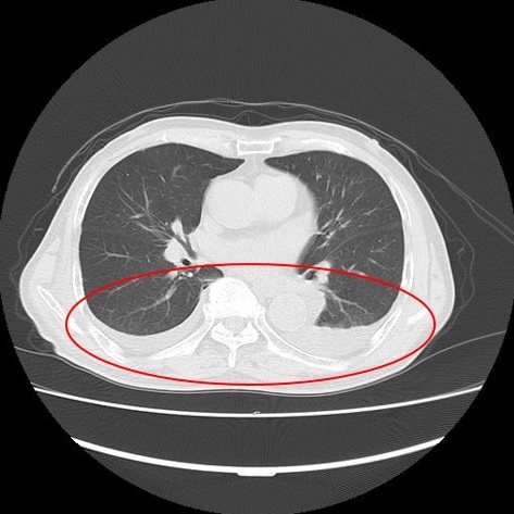
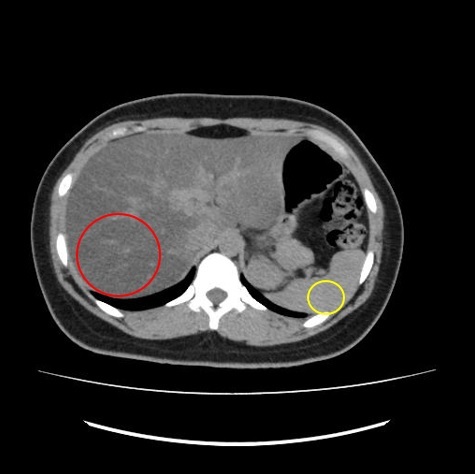
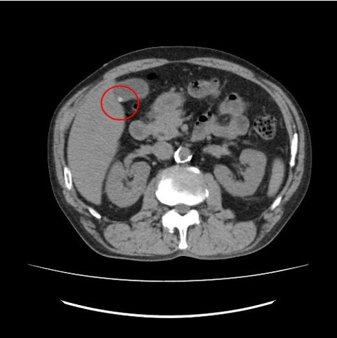
▼CT検査で得られる画像

例1 肺炎

例2 胸水

例3 脂肪肝(脂肪が多くふくまれると黒く写る)

例4 胆石

例5 憩室炎

例6 圧迫骨折(腰椎)
体内の水分、タンパク質、ミネラル、脂肪を分析し、栄養状態やむくみ、筋肉量を測定します。
自分の水分量・筋肉量・脂肪量が数値としてわかるため、今後の食生活や運動量の指標として、役立てることができます。
下肢浮腫等がある方は、保険適応で測定が可能です。
*ダイエットや筋トレの効果を確認したい方は、自費での検査の受付が可能です。 料金:1回3,500円(身長体重計測、医師から検査後の説明あり)

目視法に比べて、より正確な検査結果が得られます。
当院では、「ブドウ糖、たんぱく質、潜血、PH」の4種類と、健診用の「ブドウ糖、たんぱく質」2種類の検査試薬を用意しています。

糖尿病患者様のHbA1cと微量アルブミンを院内ですぐに定量測定できる機械です。
HbA1c検査は、指先からの1μLの血液で検査可能です。
また、尿検査で、糖尿病性腎症の早期発見につながる微量アルブミンの測定ができます。

睡眠時無呼吸症候群(SAS)の検査
自宅でできる簡易型睡眠時無呼吸測定装置として、フィリップス社の「ウォッチパッド」を用います。
これまでの睡眠呼吸障害の検査は、個室で行われる場合や一時的な入院を伴う場合が多く、費用や時間がかかるものでした。
しかし、ウォッチパッドを使用することで、自宅で通常の睡眠を観察することができます。
ウォッチパットは3つの部分から成り立っています。
① 時計型の本体
② 喉にテープで貼り付けるセンサー
③ 指にはめるセンサー(ディスポーザブル)
装置を装着して睡眠を取るだけで、睡眠時の体位や呼吸の様子、血中酸素濃度、自律神経の働き方、睡眠段階などの情報を同時にチェックすることができます。
*眠っているとき、「呼吸が止まっている、いびきがうるさい」と言われる。
*しっかり眠っているのに日中に強い眠気、疲れを感じる
*夜中に何度もトイレに行くことがある
*高血圧である
*糖尿病がある
上記のような症状があり、問診で睡眠時無呼吸症候群が疑われる場合に、当院から外部業者へ連携し、検査機器をご自宅までお届し、装着説明を行います。
(郵送対応も可)
検査にかかる費用
終夜睡眠ポリグラフィー(720点)+脳波検査判断料2(180点)
3割負担の場合:2700円 1割負担の場合:900円
一晩の睡眠状態を検査し、睡眠中のいびきや呼吸状態、酸素飽和度を調べてSASの可能性を判断します。
AHI(睡眠1時間あたりの無呼吸および低呼吸の合計回数)が40以上で、SASの診断・治療となります。
AHIが40未満の場合の精密検査も在宅での対応が可能です。まずは、気になる症状についてお気軽にお問合わせください。